投资企业新闻

中国首例可回收经导管主动脉瓣膜临床应用成功

2017/11/24 | 欧美大片xxxxbbbb
 

中国介入心脏瓣膜技术迈入可回收时代

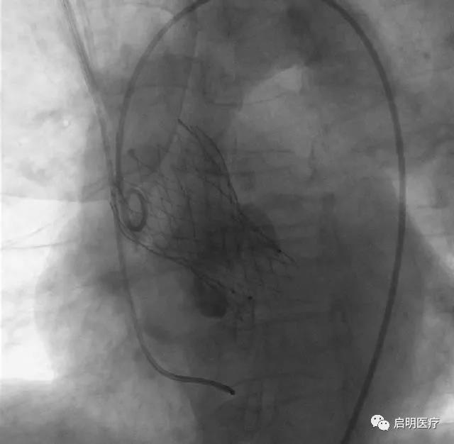
2017年11月23日,VenusA Plus可回收瓣膜系统首例临床应用在浙江大学医学院附属第二医院成功进行。

“释放、位置完美、输送系统撤出体外,VenusA Plus可回收瓣膜系统首例临床应用成功!”浙江大学医学院附属第二医院王建安教授宣布。这标志着启明医疗又攻克了一个经导管主动脉瓣膜置换术(TAVR)的技术难题,成为中国首家具有可回收介入心脏瓣膜系统的企业。

患者,76岁女性,诊断为:主动脉瓣重度狭窄,外科手术高危(STS 13.8%)。经浙医二院心脏团队讨论,该患者的解剖结构特点为二叶式主动脉瓣畸形、钙化不对称,瓣膜植入过程中移位的可能性大,手术难度高,适用于可回收系统。

可回收系统允许瓣膜在释放后收回重新定位,可避免瓣膜植入位置不佳及型号偏差引起的不良事件,如:瓣膜移位、重度瓣周漏、影响二尖瓣工作、压迫传导束造成高度房室传导阻滞等,同时也降低了手术的难度,有利于TAVR技术的推广和应用。

“浙医二院的医生团队、浙江省高新企业瓣膜研究院和启明医疗的工程师团队,从VenusA-Valve开始,持续地进行产学研医的紧密合作,到今天,成功地进行了中国第一个可回收瓣膜VenusA Plus的首例临床应用。该产品为新一代介入瓣膜系统,释放、回收稳定,操控性和通过性良好,临床应用前景令人期待。”浙医二院王建安教授高度肯定了新产品的临床价值。

浙医二院王建安教授中国首例可回收经导管主动脉瓣膜

临床应用成功

在中国首个经皮介入主动脉瓣系统VenusA-Valve上市仅4个月后,VenusA Plus可回收系统就获得了临床应用的成功。启明医疗CEO訾振军先生展望道:“创新是引领发展的第一动力,启明医疗持续实现技术突破。我们还会有越来越多的产品推向市场,体现中国企业非凡的创新能力,为更多的患者服务!”