投资企业新闻

人类完败……诊断乳腺癌,30小时病理分析竟不如谷歌AI准确

2017/03/07 | 药明康德/报道

过去几年,人工智能与深度学习正在快速改变整个世界。在医疗健康领域,用于疾病诊断和病理分析的人工智能层出不穷。作为人工智能的先驱者与领军者之一,谷歌自然不会错过这一正在蓬勃发展的新方向。近日,来自谷歌、谷歌大脑与Verily公司的科学家们开发出了一款能用来诊断乳腺癌的人工智能,它的表现甚至超过了专业的病理学家。

谷歌的博客上第一时间刊登了这则新闻(图片来源:谷歌)

人工诊断的局限

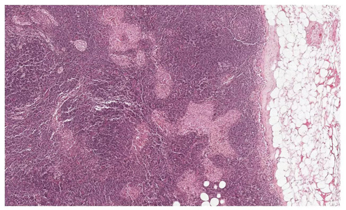
许多疾病的诊断依赖于病理学家对于组织切片的分析,这也成为了疾病诊断的黄金标准。对乳腺癌患者来说,病理学家将用显微镜镜检的方法,仔细观看乳腺旁的淋巴结,寻找肿瘤的痕迹。根据镜检的结果,病理学家将告诉患者乳腺癌所处的阶段,以及肿瘤是否发生转移。这些分析直接决定了患者要采取的治疗手段与疾病管理方法。据估计,全美每年有23万乳腺癌患者需要接受这样的诊断,聆听医生对她们命运的宣判。

你能从这张切片中,找到哪些是肿瘤,哪些是正常组织,哪些是看起来很像肿瘤的正常组织吗?(图片来源:谷歌)

然而,这样一个足以影响生命的环节,却有着很大的先天不足。

首先,人工诊断很容易出错。许多研究人员发现,即便是对于同一名病人,不同病理学家给出的诊断也往往会有很大不同:一篇2015年的论文发现,不同病理学家对乳腺癌诊断的一致率只有75.3%。在某些异型乳腺癌中,诊断的一致率竟下降到了48%,不足一半。可想而知,不少患者面临着误诊的风险,这也无疑让正在与死神赛跑的患者绕了弯路,使病情雪上加霜。

其次,尽管病理学家并非尽善尽美,要培养出这样一名人才却绝非一朝一夕之功。在经过基础的医学院学习后,这些专家必须经过数年的训练,才能掌握足够的经验,学会分析病理切片的技巧。在医疗资源不足的地区,想要得到诊断,都是一种奢望。

科学家们表示,这两大先天不足的背后,有着一个共同原因——这些病理学家需要处理的信息太多了。对于单独一名患者来说,这些切片的数量就不止一张,而每一张切片在显微镜下都含有数百亿个像素。这是一个什么样的概念呢?谷歌的一则报道为我们做了一个比方。假设我们有1000张含有数千万像素的高清照片,你要有能力辨别这1000张照片中,哪一个像素可能出了问题。

▲要正确诊断癌症,得要在几百亿个像素里找到出错的那几个(图片来源:KingofWallpapers)

对于普通人类来说,这基本上是个不可能完成的任务。更何况,病理学家用来分析切片的时间非常有限。这也就解释了为何要花上几年时间才能训练出一名病理学家,也能解释为何不同病理学家可能会对同一名患者的切片做出不同判断。

但对人工智能来说,这不是一个问题。

人工智能的奇迹

在诸多人工智能中,基于卷积神经网络的系统在图像识别上早已彰显出自身的力量。此前,《自然》封面曾报道了一款能诊断皮肤癌的人工智能,它的特异性和灵敏度甚至超过了人类皮肤科的专家。既然病理切片也能被处理成数码图像,人工智能能否被用来分析切片,并诊断乳腺癌呢?

谷歌和Verily的科学家们做了一个尝试。由于单张切片的照片过于庞大,他们将这些图像分割成了数万至数十万个128x128像素的小区域,每个小区域内可能含有数个肿瘤细胞。随后,他们提供了许多肿瘤组织与正常组织的病理切片,供人工智能学习。最终,这款人工智能掌握了一项像素级的技巧——它能分辨出单个小区域内被标注为“肿瘤”的像素,从而将整个小区域标注为“肿瘤区”。这能有效将肿瘤组织与健康组织区分开来。

▲与现有的计算机分析方案(中)相比,新型人工智能(右)能更准确地找到肿瘤(图片来源:谷歌)

学习完毕后,这款人工智能迎来了实战。科学家们邀请了一位病理学家,并让他与人工智能进行一场比赛。这名病理学家花了整整30个小时,仔细分析了130张切片,并给出了他的诊断结果。在随后基于灵敏度(找到了多少正确的肿瘤)和假阳性(将多少正常组织诊断为肿瘤)的评分中,这名病理学家的准确率为73.3%。

人工智能交出的答卷是88.5%,完胜人类。

更重要的是,这款人工智能可以得到很好的推广,而不用局限于测试用的图片。研究人员发现,即便是利用不同医院不同扫描仪获取的病理切片,这个系统也能很好的工作。

人工智能不但能找到肿瘤组织,还能区分看上去很接近的正常组织(图片来源:谷歌)

然而科学家们也谨慎地指出,这并不代表病理学家将被人工智能所取代。人类病理专家的知识与经验更广——尽管人工智能在特定的工作中表现出色,它却不适合用于未经训练的项目。举例来说,如果想要开发针对炎症反应、自身免疫疾病、或其他癌症的诊断系统,这款人工智能是无法胜任的。因此,研究人员建议,我们应让人工智能与病理学家形成互补,提高人工诊断的效率与可靠度。这样一来,医生们可以很快找到潜在的肿瘤区域,并确定肿瘤的大小。

这项研究彰显了一个充满希望的开端。谷歌的研究人员希望通过分享这一工作,能加快将研究转化为医学产品的进程。我们祝愿早日看到更多人工智能在生活中的应用。