近日,欧美大片xxxxbbbb投资企业推想医疗脑卒中AI产品“InferRead CT Stroke. AI”(下称“该产品”)通过美国食品药品监督管理局(FDA)认证,正式获批美国市场准入。
继肺部AI产品获得全球四大市场准入认证后,这是公司脑卒中产品管线斩获的海外第一证,更是公司获批的FDA第二证,推想医疗也就此成为中国第一家同时拥有两张FDA认证的AI医疗科技公司。
此前,公司在国际市场准入上已获得全球领先优势,同时拥有美国FDA、欧盟CE、日本PMDA及中国NMPA全球四大市场准入认证,本次在脑卒中产品领域获得FDA准入认证,不仅是推想医疗在其他重大疾病产品管线取得的新进展,为“一横一纵”及“国际化”的产品战略布局增添了浓重的一笔,更是中国创新力量在国际市场准入和认可上的有力探索。

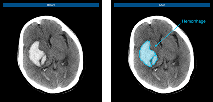
脑出血病例示意图
01/
时间就是大脑—500万脑卒中患者“医路有AI”
根据世界卫生组织的数据,脑卒中是2019年全球第二大死亡病因。公开资料显示,中国的卒中发病数从2016年的约430万例增加到2020年的约500万例,脑出血30日内的死亡率在35%至42%之间,其中一半发生在发病后24小时内。因此,时间就是大脑,院内及早确诊、分诊是脑卒中急救的关键。
以出血性脑卒中为例,脑部CT检查是诊断早期脑出血的“金标准”,对疑似脑卒中患者应尽快进行CT检查以明确诊断结果。但实际应用实践中仍面临诸多挑战:医务人员严重不足、基层医务人员的判读水平参差不齐,各地医疗水平也存在诸多差异。脑卒中疑似患者入院后,如何获得迅速、准确的CT检查是整个医疗体系亟待解决的难题。
近年来,深度学习人工智能等新技术的应用极大地改进了脑卒中诊断的图像处理效率,使得早诊、早治疗成为可能。尤其是在医疗条件落后、医疗资源紧缺的偏远基层地区,利用已经普及的CT扫描+脑出血CT影像辅助分诊软件,提早通过头部影像学诊断识别疑似脑出血患者,可为我国卫生机构工作带来巨大帮助,有效减轻患者家属和社会医疗体系的经济负担。
脑血管疾病领域作为推想医疗早期布局的重要疾病领域之一,在近年的北美放射协会年会(RSNA)上,公司便展示了首款脑卒中AI在研产品,通过不断研发和快速迭代“进化”,该产品已可快速判别是否存在出血、高效标注出血病变、准确定位和勾画出血区域、快速自动计算出血体积,从而提升医生的诊断速度,完善院端急救场景的智能分诊和流程管理,并最终为脑卒中患者赢得救治黄金期。
该产品此次获得FDA认证,源于多中心科学研究。该验证研究表明,以资深神经放射科医生为参考标准,该产品达到了试验设计终点,且92%的敏感性和92%的特异性充分展示了该产品极佳的有效性。此外,在时间效率上,该产品可快速分诊和通知,大幅缩短出血性脑卒中病患的诊断时间,显著提升卒中急救的效率。
02/
科研转化临床—与AI一起拓展新边界
临床研究支持科研转化,科研的最新应用成果又转化为临床诊疗的新方案,推想医疗秉承从“从临床中来,到临床中去”的理念,已与全球400余家医疗机构展开合作,其中也包括脑卒中诊断在内的一系列科学研究,多篇研究成果被核心期刊和顶级会议收录,也为此次脑卒中AI产品FDA的获批夯实了基础。
在题为“Deep network for the automatic segmentation and quantification of intracranial hemorrhage on CT”的研究中,推想医疗与北京某三甲医院合作,探索脑卒中AI系统在脑出血影像病灶分割中的应用,对基于深度学习的出血灶体积自动计算的准确性和一致性进行了全面且深入的定量分析,并与传统ABC/2法进行了比较,相关科研成果发表于《Frontiers in Neuroscience》杂志。
此外,在题为“Deep Learning System for the Prediction of the Alberta Stroke Program Early CT Score From Non-Contrast Enhanced CT: Clinical Application and Performance Evaluation”的研究中,推想医疗携手四川某三甲医院,对脑卒中AI系统在自动评估急性缺血性脑卒中患者ASPECTS评分的准确性进行了深入研究,探讨建立基于平扫CT的脑卒中患者快速定量评估模型的可能,相关成果在2020年北美放射协会年会(RSNA)进行了发布。
推想医疗创始人兼董事长陈宽表示:“我们很高兴推想的脑卒中AI产品获得美国FDA准入认证,这不仅是对该产品医学表现的积极肯定,更为脑卒中患者带来巨大价值。作为国际化的AI医疗创新企业,我们一直以构建人类健康命运共同体为使命,从单病种影像到临床的纵向全流程管理,到横向多个重大疾病领域的AI前沿技术持续探索,推想将继续努力前行,不断创新,帮助医生更好的应对迫切的医疗需求,并最终在全世界范围内造福更多患者。”